Hip Replacement for Hip Fractures

Hip Replacement for Hip Fractures in Islamabad

Advanced Solutions to Restore Hip Function and Quality of Life

At Aamer Nisar Orthopaedics & Trauma, we provide specialised hip replacement surgery in Islamabad for patients with severe hip fractures or damage that cannot be repaired with traditional fixation methods. Our goal is to relieve pain, restore mobility, and improve overall quality of life. Each procedure is tailored to the patient’s needs and performed using the latest surgical techniques.

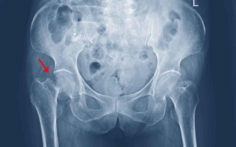
When is Hip Replacement Needed?

Identifying Severe Hip Damage

Not all hip fractures require replacement. Hip replacement is recommended when the fracture involves the joint surface, is displaced, or occurs in patients with pre-existing arthritis or weakened bone. Signs include severe hip pain, inability to walk, and reduced leg stability. Timely evaluation by an experienced Orthopaedic Specialist in Islamabad ensures the right treatment is chosen for optimal recovery.

Types of Hip Replacement Surgery

Personalised Options for Every Patient

Hip replacement can be partial or total. In a partial hip replacement, only the damaged part of the hip is replaced, while a total hip replacement involves replacing both the ball and socket. Each procedure is customised based on age, fracture type, and overall health. Expert orthopaedic doctors in Islamabad ensure precise alignment and long-term joint stability.

Recovery and Rehabilitation

Getting Back to Everyday Life Safely

Recovery after hip replacement surgery in Islamabad involves structured physiotherapy to regain strength, flexibility, and balance. Early mobilisation reduces complications, while tailored exercises support long-term joint function. Our team monitors each patient closely, providing guidance to achieve safe, pain-free movement and independence.

Why Choose Expert Hip Care?

Trusted Hip Replacement by Top Specialists

With years of orthopaedic and trauma experience, our surgeons deliver meticulous surgical planning, precise execution, and careful post-operative care. Patients seeking the best orthopaedic doctor in Islamabad benefit from evidence-based treatment, improved mobility, and reduced risk of future complications.

Book an Appointment

If a hip fracture has caused severe joint damage, consult an expert Orthopaedic Specialist in Islamabad for evaluation and personalised hip replacement surgery in Islamabad. Early treatment ensures faster recovery and a return to an active lifestyle.